Inferior wall STEMI and RVMI (Right ventricular myocardial infarction)
Mechanism of bradycardia in inferior STEMI
The Bezold–Jarisch reflex is an inhibitory response from cardiac sensory receptors, activated by chemical or mechanical stimuli. These stimuli are relayed via vagal C fibres to the nucleus tractus solitarius, increasing vagal activity and decreasing sympathetic output, resulting in systemic hypotension via bradycardia and vasodilation. This reflex may protect at-risk myocardial regions by reducing oxidative metabolism and prolonging diastole, thereby improving perfusion.
AV node ischemia: The blood supply of the AV node is from the atrioventricular nodal branch. The origin of this artery is most commonly (80–90% of hearts) a branch of the right coronary artery, with the remainder originating from the left circumflex artery. Proximal RCA occlusion leads to ischemia of the AV node, resulting in conduction delays or failure.
Endogenous adenosine release: During ischemia, intracellular ATP is degraded to AMP, which is then released and converted to adenosine in the extracellular space. This process signals distress and triggers protective responses that lead to bradycardia (via A1 receptors), coronary vasodilation and enhanced coronary flow (via A2A receptors), and inhibition of platelet aggregation (via A2A receptors) during active ischemia. A3 receptors are mainly peripherally located but are thought to play a role in mediating preconditioning.

Echocardiography
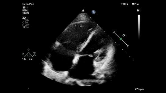
Echocardiography in right ventricular myocardial infarction (RVMI) can resemble McConnell's sign.
McConnell's sign describes a regional pattern of acute right ventricular dysfunction on transthoracic echocardiography first observed in a cohort of patients with acute pulmonary thromboembolism.
A 65-year-old female patient presented with acute chest pain 3 days before admission.

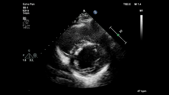
Parasternal short axis reveals RV dilatation with preserved LV contraction.

RV dilatation with RV dysfunction with preserved apical contractility resembles McConnell's sign.

Coronary angiography reveals an obstruction in the right coronary artery (RCA).

Three days following revascularization.
References
Berg RMG, Jabbari R. The Bezold-Jarisch reflex: Hubris and (n)emesis in the clinical assessment of acute inferior wall myocardial infarction. Exp Physiol. 2025 Aug;110(8):1026-1028. doi: 10.1113/EP092587. Epub 2025 Mar 3. PMID: 40029162; PMCID: PMC12314636.
Layland, J, Carrick, D, Lee, M. et al. Adenosine: Physiology, Pharmacology, and Clinical Applications. J Am Coll Cardiol Intv. 2014 Jun, 7 (6) 581–591.
McConnell MV, Solomon SD, Rayan ME, Come PC, Goldhaber SZ, Lee RT. Regional right ventricular dysfunction detected by echocardiography in acute pulmonary embolism. (1996) The American journal of cardiology. 78 (4): 469-73.
