Pulmonary artery aneurysm & Dissection
Pulmonary artery aneurysm
Congenital conditions associated with pulmonary artery aneurysm
Heart defects
Persistent ductus arteriosus
Ventricular septal defects
Atrial septal defects
Hypoplastic aortic valve
Bicuspid aortic valve
Pulmonary valve stenosis
Pulmonary regurgitation
Absent pulmonary valve
Connective tissue diseases
Ehlers-Danlos syndrome
Marfan syndrome
Cystic medial necrosis
Acquired conditions associated with pulmonary artery aneurysms and pseudoaneurysms
Infectious
Syphilis
Tuberculosis
Pyogenic bacteria
Endocarditis, septic embolism
Bacterial, viral, or fungal pneumonia
Vasculitis
Behcet's disease
Huges-Stovin syndrome
Pulmonary arterial hypertension
Acute or chronic bronchiectasis and pulmonary fibrosis
Pulmonary artery dissection


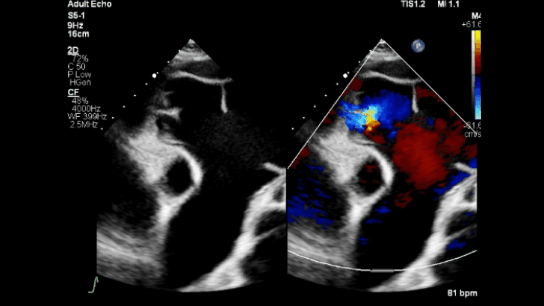
A 56-year-old woman with ASD secundum with Eisenmenger syndrome
References
1) Park, H., Chamarthy, M., Lamus, D., Saboo, S., Sutphin, P., & Kalva, S. (2018). Pulmonary artery aneurysms: diagnosis & endovascular therapy. Cardiovascular Diagnosis And Therapy, 8(3), 350-361. doi:10.21037/cdt.2018.04.01
